広島県広島市佐伯区五日市5丁目6−26
ゆめモール五日市内
土曜:午前9:30~午後12:00 / 午後13:00~17:00
休診日:水、日、祝
サポートを、プロとして責任をもって
おこなっていきたい。
ブログ
口ポカンが治るとはどういうこと?
こんにちは
広島のあい歯科・こども矯正歯科クリニックの田中です
口呼吸を治すために「口を閉じろ 口を閉じろ」と脳に言って聞かせることには一定の意味は感じますが、口を閉じることと口唇閉鎖とは意味が違うように思います
「口を閉じる」のは咀嚼筋の仲間である「咬筋・側頭筋」が脳の命令で行うことでしょう
それに対して「口唇閉鎖」とは「咬筋・側頭筋」はもちろんですが、表情筋、咽頭の筋肉そして口輪筋が反射的に全てが協力しあって無意識に起こることだと思います
だから口ポカンのお子さんに「口を閉じなさい」と言って聞かせれば、その時は口を閉じるけど、時間が経つとポカ〜んと開いているのが現実ではないでしょうか?
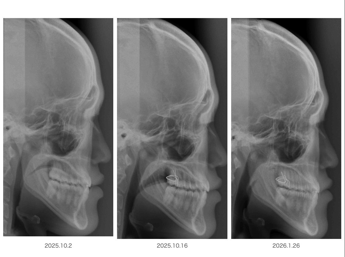
そこで以前にもレントゲンのビフォーアフターでご紹介しましたが、今回は成人男性でこんな変化があるという症例をご参考にしていただき、口呼吸を治すという概念を少しだけアップデートしていただけたらと思います

ここに3枚のレントゲンがありますが、もちろん同一人物であり、昨年10月2日からの変化になります
よく見比べてみて何が違うのか探してみてください・・・・
例えば画像を拡大してみたり。。。。

咽頭部を拡大してみたらいかがでしょう?

では赤丸で囲ってみましょうか?

顎が前に出たからなのでしょうか?
実はこの顎が前に出る反応もご本人の意思とは関係なく反射的に起こっています
ではここはどうですか?

わかりますか?
では赤丸で囲みますよ〜
よ〜く見比べてくださいね

ここは分かりにくいかもしれませんが、左のレントゲンと右のレントゲンでは唇の厚さが違うことが見えますか?
前歯との距離を見てみると分かりやすいかもしれませんが、左のレントゲンでは「口を閉じる」事が起きていますが、社会人になると口ポカンは恥ずかしいと学ぶので脳はいつも口を閉じた状態をキープしようとするでしょう
これに対して右のレントゲンでは「口唇閉鎖」が起きており、このことはご本人も気づいていないでしょう
だってこれは中枢が勝手にやっていることだからです
この時「口輪筋が無意識に活動している」のです
何をしたのか???
これは日本歯科大学名誉教授考案のBBという装置を装着しただけです
ここに口呼吸の真実が見え隠れしています
ちなみにこのBB装置は丸茂先生の座学で学識を学び、直接製作の実習を学んだ臨床家にだけ作ることが許可されています
なぜなら真似事で作った装置では逆に舌の後退が起こる可能性が高いからです
当院では現在MRC矯正をしていてなかなか呼吸が回復しないお子さんや、矯正治療をしているお子さんの保護者さんを対象にBB装置をセットし経過を追わせていただいております
今後は顎関節症に悩む方たちにBB装置を紹介していきたいと思っています
お子さんから成人まで不調を感じたらお気軽に相談してみてほしい
意外と呼吸できていない身体が原因となっていることは多いのです
信念を持って診療しております!
ネット予約24時間受付中
*以下よりご予約ください。
https://www.genifix.jp/aisika-kodomo-caa/p/reserve/first_time/interview?nov=true
医療法人爽風会あい歯科こども矯正+ファミリー歯科クリニック
広島県広島市佐伯区五日市5丁目6−26
ゆめモール五日市内
- 0歳から見守ります
-
私たちは治療を
減らすことが目標です - 原因から治す目立たない矯正歯科
-
絶対にあなたの治療を減らす
予防歯科(FMD)